Главная Форум Роддома Советы Линеечки Соседи

Вернуться   Пузяка - обсуждаем беременность, роды и воспитание детей > Жизнь форума > Архив тем > Архив беременных болталок


Важная информация

Закрытая тема
 
Опции темы Поиск в этой теме
Old 08.10.2011, 11:44
Oksya
Мама-умница
 
Аватар для Oksya
 
Регистрация: 13.08.2010
Адрес: Россия, Уфа
Сообщений: 234
Вес репутации: 35
Oksya обеспечил(а) себе прекрасное будущееOksya обеспечил(а) себе прекрасное будущееOksya обеспечил(а) себе прекрасное будущееOksya обеспечил(а) себе прекрасное будущееOksya обеспечил(а) себе прекрасное будущееOksya обеспечил(а) себе прекрасное будущееOksya обеспечил(а) себе прекрасное будущееOksya обеспечил(а) себе прекрасное будущееOksya обеспечил(а) себе прекрасное будущееOksya обеспечил(а) себе прекрасное будущееOksya обеспечил(а) себе прекрасное будущее

Награды пользователя:

По умолчанию

Цитата:
Сообщение от Maryana Посмотреть сообщение
У меня в 1-й день задержки коричневая мазня. Сегодня четвертый день. Мажет до сих пор. Отрыжка воздухом третий день. Есть больше стала.

В прошлую Б тоже была отрыжка и жор, мазни не было. Ну и в оба раза уверенность в наступившей Б. Как муж говорит : чуйка
У меня тоже была мазня в дни предполагаемых М, я пила нош-пу и свечку папаверина на ночь ставила, все прошло
Oksya вне форума  
Old 08.10.2011, 11:44
Oksya
Мама-умница
 
Аватар для Oksya
 
Регистрация: 13.08.2010
Адрес: Россия, Уфа
Сообщений: 234
Вес репутации: 35
Oksya обеспечил(а) себе прекрасное будущееOksya обеспечил(а) себе прекрасное будущееOksya обеспечил(а) себе прекрасное будущееOksya обеспечил(а) себе прекрасное будущееOksya обеспечил(а) себе прекрасное будущееOksya обеспечил(а) себе прекрасное будущееOksya обеспечил(а) себе прекрасное будущееOksya обеспечил(а) себе прекрасное будущееOksya обеспечил(а) себе прекрасное будущееOksya обеспечил(а) себе прекрасное будущееOksya обеспечил(а) себе прекрасное будущее

Награды пользователя:

По умолчанию

Цитата:
Сообщение от Maryana Посмотреть сообщение
Давайте знакомиться. Я Маша (27), муж Миша (33), сын Егор (1г.4мес.)
А я Оксана (32), Муж Руслан (34), сын Владислав (9,4)
Oksya вне форума  
Old 08.10.2011, 13:28
Кристиночка
Мама-любитель
 
Аватар для Кристиночка
 
Регистрация: 19.12.2008
Адрес: Индия, Гоа
Сообщений: 330
Вес репутации: 37
Кристиночка репутация неоспоримаКристиночка репутация неоспоримаКристиночка репутация неоспоримаКристиночка репутация неоспоримаКристиночка репутация неоспоримаКристиночка репутация неоспоримаКристиночка репутация неоспоримаКристиночка репутация неоспоримаКристиночка репутация неоспоримаКристиночка репутация неоспоримаКристиночка репутация неоспорима

Награды пользователя:
Мама мальчика Мама мальчика Кормлю грудью больше года Мама девочки Мама-студентка 
Всего наград: 5

По умолчанию

Я Кристина(26),муж Алексей(27) и доченька Аришка (2,6)
Кристиночка вне форума  
Old 08.10.2011, 13:29
Кристиночка
Мама-любитель
 
Аватар для Кристиночка
 
Регистрация: 19.12.2008
Адрес: Индия, Гоа
Сообщений: 330
Вес репутации: 37
Кристиночка репутация неоспоримаКристиночка репутация неоспоримаКристиночка репутация неоспоримаКристиночка репутация неоспоримаКристиночка репутация неоспоримаКристиночка репутация неоспоримаКристиночка репутация неоспоримаКристиночка репутация неоспоримаКристиночка репутация неоспоримаКристиночка репутация неоспоримаКристиночка репутация неоспорима

Награды пользователя:
Мама мальчика Мама мальчика Кормлю грудью больше года Мама девочки Мама-студентка 
Всего наград: 5

По умолчанию

Привет девочки,как у вас дела?Мы сегодня дверь входную поменяли,вся квартира в пыли,полы уже 5 раз помыла еще доча заболела блин....
Кристиночка вне форума  
Old 08.10.2011, 17:50
Sapfira
Мама-эксперт
 
Аватар для Sapfira
 
Регистрация: 16.08.2011
Адрес: Киев
Сообщений: 1,565
Вес репутации: 47495
Sapfira репутация неоспоримаSapfira репутация неоспоримаSapfira репутация неоспоримаSapfira репутация неоспоримаSapfira репутация неоспоримаSapfira репутация неоспоримаSapfira репутация неоспоримаSapfira репутация неоспоримаSapfira репутация неоспоримаSapfira репутация неоспоримаSapfira репутация неоспорима

Награды пользователя:

По умолчанию

я сдала сегодня ХГЧ и пргестерон-жду результатов с нетерпением. поставила линеечку на ней уже 6 недель и срок 30 мая, так что я теперь и к майским отношусь тоже, хотя знаю что фактических максимум 2 недели, потому что была поздняя овуляция.
Sapfira вне форума  
Old 08.10.2011, 17:54
Maryana
Мама-мудрец
 
Аватар для Maryana
 
Регистрация: 04.05.2009
Адрес: Москва
Сообщений: 2,727
Вес репутации: 357420
Maryana репутация неоспоримаMaryana репутация неоспоримаMaryana репутация неоспоримаMaryana репутация неоспоримаMaryana репутация неоспоримаMaryana репутация неоспоримаMaryana репутация неоспоримаMaryana репутация неоспоримаMaryana репутация неоспоримаMaryana репутация неоспоримаMaryana репутация неоспорима

Награды пользователя:
Мама погодок Рукодельница форума Мама мальчика Спасибо, что вы с нами! Мама мальчика Забеременела на форуме 
Всего наград: 6

По умолчанию

Цитата:
Сообщение от Oksya Посмотреть сообщение
У меня тоже была мазня в дни предполагаемых М, я пила нош-пу и свечку папаверина на ночь ставила, все прошло
Надо бы тоже попить. А то все мажет.

Цитата:
Сообщение от Oksya Посмотреть сообщение
А я Оксана (32), Муж Руслан (34), сын Владислав (9,4)
Цитата:
Сообщение от Кристиночка Посмотреть сообщение
Я Кристина(26),муж Алексей(27) и доченька Аришка (2,6)
Очень приятно.

Если будет доча, хочу назвать Аришка

Цитата:
Сообщение от Кристиночка Посмотреть сообщение
Привет девочки,как у вас дела?Мы сегодня дверь входную поменяли,вся квартира в пыли,полы уже 5 раз помыла еще доча заболела блин....
С новой дверью И скорейшего выздоровления малышке

Мы тока пришли. Гуляли 3,5 часа.
Maryana вне форума  
Old 08.10.2011, 17:56
Maryana
Мама-мудрец
 
Аватар для Maryana
 
Регистрация: 04.05.2009
Адрес: Москва
Сообщений: 2,727
Вес репутации: 357420
Maryana репутация неоспоримаMaryana репутация неоспоримаMaryana репутация неоспоримаMaryana репутация неоспоримаMaryana репутация неоспоримаMaryana репутация неоспоримаMaryana репутация неоспоримаMaryana репутация неоспоримаMaryana репутация неоспоримаMaryana репутация неоспоримаMaryana репутация неоспорима

Награды пользователя:
Мама погодок Рукодельница форума Мама мальчика Спасибо, что вы с нами! Мама мальчика Забеременела на форуме 
Всего наград: 6

По умолчанию

Цитата:
Сообщение от Цветочка Посмотреть сообщение
я сдала сегодня ХГЧ и пргестерон-жду результатов с нетерпением. поставила линеечку на ней уже 6 недель и срок 30 мая, так что я теперь и к майским отношусь тоже, хотя знаю что фактических максимум 2 недели, потому что была поздняя овуляция.
У меня в прошлую Б линеечка показывала 1 июня. А Г ставила 30 мая. Но я все равно сидела в июнятках. Родились мы 29 мая.

В понедельник запишусь на прием к Г. ХГЧ не знаю, сдавать или нет ?
Maryana вне форума  
Old 08.10.2011, 20:50
Элейн
Мама-мудрец
 
Аватар для Элейн
 
Регистрация: 07.08.2011
Адрес: Россия, Север
Сообщений: 2,294
Вес репутации: 402442
Элейн репутация неоспоримаЭлейн репутация неоспоримаЭлейн репутация неоспоримаЭлейн репутация неоспоримаЭлейн репутация неоспоримаЭлейн репутация неоспоримаЭлейн репутация неоспоримаЭлейн репутация неоспоримаЭлейн репутация неоспоримаЭлейн репутация неоспоримаЭлейн репутация неоспорима

Награды пользователя:

По умолчанию

Добро пожаловать всем новеньким Поздравляю с Б.!
Элейн вне форума  
Old 08.10.2011, 21:13
Кристиночка
Мама-любитель
 
Аватар для Кристиночка
 
Регистрация: 19.12.2008
Адрес: Индия, Гоа
Сообщений: 330
Вес репутации: 37
Кристиночка репутация неоспоримаКристиночка репутация неоспоримаКристиночка репутация неоспоримаКристиночка репутация неоспоримаКристиночка репутация неоспоримаКристиночка репутация неоспоримаКристиночка репутация неоспоримаКристиночка репутация неоспоримаКристиночка репутация неоспоримаКристиночка репутация неоспоримаКристиночка репутация неоспорима

Награды пользователя:
Мама мальчика Мама мальчика Кормлю грудью больше года Мама девочки Мама-студентка 
Всего наград: 5

По умолчанию

Цитата:
Сообщение от Maryana Посмотреть сообщение
Если будет доча, хочу назвать Аришка

С новой дверью И скорейшего выздоровления малышке
Я тоже,как только забеременела,хотела доченьку и имя сразу придумала -Аришка или Анютка вот если сейчас доча получилась,Анютой будет

Спасибо,теперь перед новым годом на очереди замена линолеума
Кристиночка вне форума  
Old 08.10.2011, 21:48
Maryana
Мама-мудрец
 
Аватар для Maryana
 
Регистрация: 04.05.2009
Адрес: Москва
Сообщений: 2,727
Вес репутации: 357420
Maryana репутация неоспоримаMaryana репутация неоспоримаMaryana репутация неоспоримаMaryana репутация неоспоримаMaryana репутация неоспоримаMaryana репутация неоспоримаMaryana репутация неоспоримаMaryana репутация неоспоримаMaryana репутация неоспоримаMaryana репутация неоспоримаMaryana репутация неоспорима

Награды пользователя:
Мама погодок Рукодельница форума Мама мальчика Спасибо, что вы с нами! Мама мальчика Забеременела на форуме 
Всего наград: 6

По умолчанию

Цитата:
Сообщение от Элейн Посмотреть сообщение
Добро пожаловать всем новеньким Поздравляю с Б.!
Спасибо !

Цитата:
Сообщение от Кристиночка Посмотреть сообщение
Я тоже,как только забеременела,хотела доченьку и имя сразу придумала -Аришка или Анютка вот если сейчас доча получилась,Анютой будет

Спасибо,теперь перед новым годом на очереди замена линолеума
У меня просто "галочка". У нас в фамилии есть буква Р. Сыну имя подбирали с этой буквой. Вот если доча будет, тоже хочу с Р. Ну и как вариант надо еще над одним мужским подумать.

Мы месяц назад ремонт закончили. Т.е. приостановили. Самое основное сделали. Меняли все, вплоть до пола и потолков. Зимой планировали ванну/туалет отремонтировать, но теперь наверное придется отложить. По финансам не потянем. Хотя, кто знает.
Maryana вне форума  
Old 09.10.2011, 00:14
Nadega
Гость
 
Сообщений: n/a
По умолчанию

Цитата:
Сообщение от Olegio Посмотреть сообщение
Maryana, Nadega, Цветочка, приветик! Как вас сразу много!!! Поздравляюююю!
Спасибо большое!
 
Old 09.10.2011, 00:21
Nadega
Гость
 
Сообщений: n/a
По умолчанию

А у меня как-то все спокойно. Неделю поколбасило слегка и все. второй день чувствую себя замечательно, только низ живота потягивает иногда и пучит, пучит, пучит ))))))))))) живот раздуло, не знаю что делать ))
 
Old 09.10.2011, 11:22
Sapfira
Мама-эксперт
 
Аватар для Sapfira
 
Регистрация: 16.08.2011
Адрес: Киев
Сообщений: 1,565
Вес репутации: 47495
Sapfira репутация неоспоримаSapfira репутация неоспоримаSapfira репутация неоспоримаSapfira репутация неоспоримаSapfira репутация неоспоримаSapfira репутация неоспоримаSapfira репутация неоспоримаSapfira репутация неоспоримаSapfira репутация неоспоримаSapfira репутация неоспоримаSapfira репутация неоспорима

Награды пользователя:

По умолчанию

Цитата:
Сообщение от Nadega Посмотреть сообщение
А у меня как-то все спокойно. Неделю поколбасило слегка и все. второй день чувствую себя замечательно, только низ живота потягивает иногда и пучит, пучит, пучит ))))))))))) живот раздуло, не знаю что делать ))
У меня та же проблемма, живот как арбуз, болит живот именно в области кишечника, в туалет как то тяжело ходить, это вообще нормально на раннем таком сроке?я уже думала выпить дюфалак, но не знаю можно ли его при беременности. а так тьфу. тьфу, тьфу, все хорошо!
Sapfira вне форума  
Old 09.10.2011, 12:19
Olegio
Мама-мудрец
 
Аватар для Olegio
 
Регистрация: 04.10.2011
Адрес: Москва, ВАО
Сообщений: 2,531
Вес репутации: 40993
Olegio репутация неоспоримаOlegio репутация неоспоримаOlegio репутация неоспоримаOlegio репутация неоспоримаOlegio репутация неоспоримаOlegio репутация неоспоримаOlegio репутация неоспоримаOlegio репутация неоспоримаOlegio репутация неоспоримаOlegio репутация неоспоримаOlegio репутация неоспорима

Награды пользователя:
Мама погодок Бронзовый кубок Спасибо, что вы с нами! Мама девочки Многодетная мама Мама девочки Мама мальчика 
Всего наград: 7

По умолчанию

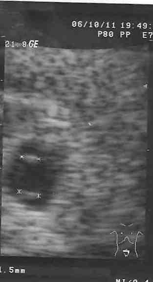
Ну вот, пока меня тут не было вчера - вы уже все перезнакомились Разрешите и мне представиться - зовут меня Ира, мне 26 лет. Муж Андрей. У меня двое детей - старшему Олегу 7,5 лет (первоклассник), а младшей Оле - 5,5 лет. Жду я двойню - я почему-то перестала в этом сомневаться
Хотите фото с узи покажу вам? Тёмный овал - это плодное яйцо. А 2 светлых горошинки в нём - это и есть предположительные близнята!
Миниатюры
Нажмите на изображение для увеличения
Название: Узи.jpg
Просмотров: 434
Размер:	10.1 Кб
ID:	5438  
Olegio вне форума  
Old 09.10.2011, 12:42
Oksya
Мама-умница
 
Аватар для Oksya
 
Регистрация: 13.08.2010
Адрес: Россия, Уфа
Сообщений: 234
Вес репутации: 35
Oksya обеспечил(а) себе прекрасное будущееOksya обеспечил(а) себе прекрасное будущееOksya обеспечил(а) себе прекрасное будущееOksya обеспечил(а) себе прекрасное будущееOksya обеспечил(а) себе прекрасное будущееOksya обеспечил(а) себе прекрасное будущееOksya обеспечил(а) себе прекрасное будущееOksya обеспечил(а) себе прекрасное будущееOksya обеспечил(а) себе прекрасное будущееOksya обеспечил(а) себе прекрасное будущееOksya обеспечил(а) себе прекрасное будущее

Награды пользователя:

По умолчанию

Цитата:
Сообщение от Olegio Посмотреть сообщение
Жду я двойню - я почему-то перестала в этом сомневаться
Хотите фото с узи покажу вам? Тёмный овал - это плодное яйцо. А 2 светлых горошинки в нём - это и есть предположительные близнята!
Какая прелесть!!! У меня мужу на днях сон приснился, что у нас 2 доченьки близняшки, так у него прям крышу снесло, говорит что хочет близняшек
Oksya вне форума  
Old 09.10.2011, 12:49
Olegio
Мама-мудрец
 
Аватар для Olegio
 
Регистрация: 04.10.2011
Адрес: Москва, ВАО
Сообщений: 2,531
Вес репутации: 40993
Olegio репутация неоспоримаOlegio репутация неоспоримаOlegio репутация неоспоримаOlegio репутация неоспоримаOlegio репутация неоспоримаOlegio репутация неоспоримаOlegio репутация неоспоримаOlegio репутация неоспоримаOlegio репутация неоспоримаOlegio репутация неоспоримаOlegio репутация неоспорима

Награды пользователя:
Мама погодок Бронзовый кубок Спасибо, что вы с нами! Мама девочки Многодетная мама Мама девочки Мама мальчика 
Всего наград: 7

По умолчанию

Мы с мужем думали-думали и решили, что больше мальчишек хотим) То есть, конечно, рады будем и девочкам. Но к мальчикам как-то больше тяготеем А ещё муж сказал, что мальчики (да ещё если и правда их двое) обойдутся гораздо экономичнее, чем 3 девицы
Olegio вне форума  
Old 09.10.2011, 13:02
Sapfira
Мама-эксперт
 
Аватар для Sapfira
 
Регистрация: 16.08.2011
Адрес: Киев
Сообщений: 1,565
Вес репутации: 47495
Sapfira репутация неоспоримаSapfira репутация неоспоримаSapfira репутация неоспоримаSapfira репутация неоспоримаSapfira репутация неоспоримаSapfira репутация неоспоримаSapfira репутация неоспоримаSapfira репутация неоспоримаSapfira репутация неоспоримаSapfira репутация неоспоримаSapfira репутация неоспорима

Награды пользователя:

По умолчанию

Цитата:
Сообщение от Olegio Посмотреть сообщение
Ну вот, пока меня тут не было вчера - вы уже все перезнакомились Разрешите и мне представиться - зовут меня Ира, мне 26 лет. Муж Андрей. У меня двое детей - старшему Олегу 7,5 лет (первоклассник), а младшей Оле - 5,5 лет. Жду я двойню - я почему-то перестала в этом сомневаться
Хотите фото с узи покажу вам? Тёмный овал - это плодное яйцо. А 2 светлых горошинки в нём - это и есть предположительные близнята!
Ира, меня зовут Света, приятно познакомиться))
вот это двойная радость а какая неделя уже у тебя?
девчонки, а как вы считаете, это безвредно делать узи на маленьком сроке?я очень хочу сделать, но мой муж начитался что это вредно и чем меньше, тем лучше, а вот мне было бы спокойнее увидеть ребеночка на месте.
Sapfira вне форума  
Old 09.10.2011, 13:16
Olegio
Мама-мудрец
 
Аватар для Olegio
 
Регистрация: 04.10.2011
Адрес: Москва, ВАО
Сообщений: 2,531
Вес репутации: 40993
Olegio репутация неоспоримаOlegio репутация неоспоримаOlegio репутация неоспоримаOlegio репутация неоспоримаOlegio репутация неоспоримаOlegio репутация неоспоримаOlegio репутация неоспоримаOlegio репутация неоспоримаOlegio репутация неоспоримаOlegio репутация неоспоримаOlegio репутация неоспорима

Награды пользователя:
Мама погодок Бронзовый кубок Спасибо, что вы с нами! Мама девочки Многодетная мама Мама девочки Мама мальчика 
Всего наград: 7

По умолчанию

Цветочка, Света, 6 недель сейчас у меня срок. Узи я делала 3 дня назад. Насколько я помню, в первую беременность тоже делала ужи на сроке 6-7 недель - абсолютно ничего страшного не произошло. На мой взгляд, лучше сделать и убедиться, что всё в порядке и не ломать голову лишний раз
Olegio вне форума  
Old 09.10.2011, 13:16
Элейн
Мама-мудрец
 
Аватар для Элейн
 
Регистрация: 07.08.2011
Адрес: Россия, Север
Сообщений: 2,294
Вес репутации: 402442
Элейн репутация неоспоримаЭлейн репутация неоспоримаЭлейн репутация неоспоримаЭлейн репутация неоспоримаЭлейн репутация неоспоримаЭлейн репутация неоспоримаЭлейн репутация неоспоримаЭлейн репутация неоспоримаЭлейн репутация неоспоримаЭлейн репутация неоспоримаЭлейн репутация неоспорима

Награды пользователя:

По умолчанию

Всем привет

Цитата:
Сообщение от Nadega Посмотреть сообщение
А у меня как-то все спокойно. Неделю поколбасило слегка и все. второй день чувствую себя замечательно, только низ живота потягивает иногда и пучит, пучит, пучит ))))))))))) живот раздуло, не знаю что делать ))
Цитата:
Сообщение от Цветочка Посмотреть сообщение
У меня та же проблемма, живот как арбуз, болит живот именно в области кишечника, в туалет как то тяжело ходить, это вообще нормально на раннем таком сроке?я уже думала выпить дюфалак, но не знаю можно ли его при беременности. а так тьфу. тьфу, тьфу, все хорошо!
Такая же ерунда... Спасаюсь тем, что контролирую что и в каких количествах ем. Я читала, что это нормально, и связано с прогестероном, который вырабатывается в организме из-за беременности.
Элейн вне форума  
Old 09.10.2011, 13:18
Olegio
Мама-мудрец
 
Аватар для Olegio
 
Регистрация: 04.10.2011
Адрес: Москва, ВАО
Сообщений: 2,531
Вес репутации: 40993
Olegio репутация неоспоримаOlegio репутация неоспоримаOlegio репутация неоспоримаOlegio репутация неоспоримаOlegio репутация неоспоримаOlegio репутация неоспоримаOlegio репутация неоспоримаOlegio репутация неоспоримаOlegio репутация неоспоримаOlegio репутация неоспоримаOlegio репутация неоспорима

Награды пользователя:
Мама погодок Бронзовый кубок Спасибо, что вы с нами! Мама девочки Многодетная мама Мама девочки Мама мальчика 
Всего наград: 7

По умолчанию

Элейн, привет!
Olegio вне форума  
Закрытая тема


Ваши права в разделе
Вы не можете создавать новые темы
Вы не можете отвечать в темах
Вы не можете прикреплять вложения
Вы не можете редактировать свои сообщения

BB коды Вкл.
Смайлы Вкл.
[IMG] код Вкл.
HTML код Выкл.